- Огляди OZ
- →
- Мікроскопи
- →
- SIGETA MB-303
Мікроскоп Sigeta MB-303 з окремим портом для камери: на яку якість фото можна розраховувати
Перед початком огляду хочемо поділитись з вами маленьким професійним секретом. Ніколи не починайте підбирати мікроскоп відштовхуючи від збільшення. Практично щодня нам доводиться переконувати клієнтів у марності цієї витівки: ми радимо насамперед звертати увагу на клас об'єктивів, а вже потім – на їхню потужність.
На нашу думку, оптимальним вибором будуть об'єктиви класу ахромат. Так, існують і інші, але вони менш популярні або через свою високу вартість (PLAN), або через низьку якість зображення (лінзові).
Отже, сьогодні у нас «в операційній» лабораторний мікроскоп Sigeta MB-303 LED Trino з ахроматичною оптикою, світлодіодною підсвіткою та додатковим оптичним портом для під'єднання камери.
Упаковка та заводська комплектація
Упаковку описувати не цікаво: все акуратно, але похмуро і стандартно. Звичайна картонна скринька, всередині якої – форма з пінопласту, що містить прилад та аксесуари. Всі деталі щільно сидять у пазах, тому можна не турбуватися про збереження приладу при транспортуванні. Вага повного комплекту – близько 7 кг.
З заводу цей оптичний прилад надходить в досить багатій комплектації. До самого мікроскопа додаються:
- фотоадаптер для тринокулярної насадки;
- 4 об'єктива – на 4, 10, 40 і 100 крат;
- дві пари окулярів – 10x та 16x;
- флакон імерсійної олії;
- знімне дзеркальце з кріпленням;
- кабель живлення;
- жовтий, синій та зелений світлофільтри;
- інструкція з експлуатації.
Окуляри
Комплектні окуляри досить гарної якості: 10-кратний зібраний за оптичною схемою Гюйгенса, 16-кратний – за схемою Кельнера. Лінзові елементи поміщені в металевий корпус, їх поверхні мають просвітлююче покриття. Посадковий діаметр окулярів стандартний – 23.2 мм.
Об'єктиви
В оптичних схемах всіх 4 об'єктивів скориговані хроматичні (для двох довжин хвилі) та частково – сферичні спотворення. Посадковий діаметр об'єктивів - 20 мм, крок різьби становить 1 мм. Відповідають DIN стандарту, парфокальна висота об'єктива максимальної кратності – 45 мм. Всі об'єктиви розраховані на оптичну довжину тубуса 160 мм та товщину предметного скла 0.17 мм.
На лінзи об'єктивів малої кратності (4 і 10x) нанесені просвітлюючі покриття. Більш потужні об'єктиви просвітлення не мають (через свою конструкцію). Їх фронтальні поверхні оснащені пружинним механізмом, який допоможе уберегти оптику від пошкоджень при можливому зіткненні зі слайдом. Як вони можуть зіткнутися? Уявімо ситуацію: ви працюєте з мікроскопом. Встановили об'єктив 100х, поклали зразок і почали налаштовувати різкість, але тут вас хтось відволік, і ви навіть не помітили, як перестаралися з фокусуванням і вперлися "носом" об'єктива в предметне скло. Саме в такі моменти й потрібна захисна пружина.
З оптикою розібралися, тепер можна перейти до будови мікроскопа.
Будова корпусу
Тут на нас не чекає жодних сюрпризів: оптичний прилад має класичну конструкцію. Єдине, на що варто звернути особливу увагу – будова тринокулярної насадки.
Окулярна голова
Призматичні блоки, в які потрапляє світло після проходження головної оптичної системи мікроскопа, розташовані всередині насадки (а в більшості мікроскопів вони, навпаки, зовні). Ця модифікація дозволила створити насадку більш компактною, до того ж приховування призм автоматично захистило їх від механічних пошкоджень і попадання сміття.
Система регулювання міжзіничної відстані також має особливості. У звичайних мікроскопах ви беретеся за призматичні блоки і зсуваєте/розсуваєте їх до тих пір, поки зображення з обох окулярів не утворюють цілісну картинку. У Sigeta MB-303 40-1600 Led Trino окулярні чашки встановлені в здвоєну металеву пластину, яка кріпиться на салазочно-рейковий механізм. Розсуваючи та зсуваючи окулярні чашки, ви можете регулювати відстань між центральними осями окулярів у межах від 55 до 75 мм.
Обидві окулярні трубки обладнані механізмами корекції діоптрій +/- 5D. Як це виглядає у роботі? Ви крутите окулярну трубку: при обертанні вліво трубка висувається, праворуч – навпаки, коротшає. Завдяки цьому ви можете змінювати фокусну відстань та компенсувати різність зору очей.
Друга особливість – рухлива призма усередині тринокуляра. Ручка для зміни положення знаходиться з правого боку насадки. Поряд з нею видно піктограми, які говорять нам про те, що в одному положенні 50% світла потрапляє в окуляри і 50% - у фотоканал (висунута ручка), а в другому все світло прямує в окуляри (ручка засунута). Плюс такої конструкції є очевидним: коли пучок світла не ділиться на два потоки, він не втрачає інтенсивності та забезпечує найкращу яскравість при спостереженні через окуляри.
Окулярна голова встановлюється на стандартне кріплення «ластівчин хвіст» і фіксується одним стопорним гвинтом. Є можливість повороту тринокуляра на 360°, що дуже зручно, якщо з мікроскопом одночасно працює кілька людей.
Штатив і револьвер
Тринокуляр з'єднується з масивною станиною, на якій встановлено предметний столик і револьвер з об'єктивами. У свою чергу, станина кріпиться до масивної, стійкої металевої основи.
Револьверна головка стандартна, чотирипозиційна. Зміна кратності проводиться шляхом повороту револьвера у будь-який бік до характерного клацання фіксуючого механізму. Порядок встановлення об'єктивів не відіграє ролі. У комплекті є заглушки, які можна поставити замість об'єктивів, якими ви поки що не користуєтеся.
Предметний столик
Під об'єктивами знаходиться широкий предметний столик габаритами 15.5 x 14 см. При фокусуванні він може переміщатися в діапазоні 0-25 мм. Стопорного гвинта, що обмежує його хід, не передбачено (далі буде ясно, чому він не потрібен).
Стільниця обладнана координатним ноніусом та мікрометричними супортами для плавного переміщення мікропрепарату в поле зору об'єктива. Єдиний недолік - шорстка поверхня столика: скло з необробленим краєм по ньому не ковзає.
Механізм фокусування
Мікроскоп обладнаний двома механізмами фокусування: грубим та тонким. По обидва боки станини ми бачимо здвоєні (коаксіальні) ручки. Велика рукоятка - це грубе фокусування, менша - звичайно ж, тонке. Жорсткість ходу механізму можна регулювати: напрямок вказує стрілочка поруч із словом TENSION – натяг.
Передбачено механізм блокування руху предметного столика. Між правою ручкою грубого фокусування та станиною мікроскопа є спеціальне кільце-фіксатор. Перевернувши кільце вгору до упору, ви повністю заблокуєте хід фокусувальних механізмів.
Конденсор
Під стільницею ми бачимо класичний конденсор Аббе з числовою апертурою в 1.25 та ірисовою діафрагмою. Конденсор допускає центрування та регулюється по висоті. (Ручка регулювання знаходиться зліва, якщо ви дивитеся на предметний столик мікроскопа.)
Корпус конденсора виконаний із пластику, просвітлень на лінзових елементах немає. Якщо зняти та перевернути його, на обороті можна побачити тримач для світлофільтрів. Синій, зелений та жовтий фільтри з комплекту застосовуються для підвищення контрасту слабозабарвлених препаратів.
Перед початком роботи дослідним шляхом відрегулюйте положення конденсора – так, щоб усе видиме поле зору було освітлено рівномірно. Потім білим маркером зробіть на корпусі механізму переміщення конденсора насічки і вкажіть відповідне збільшення об'єктива: тепер, змінюючи кратність, ви зможете швидко налаштовувати потрібну висоту. При рутинних спостереженнях немає необхідності змінювати діаметр отвору діафрагми: можна просто тримати її відкритою на максимум.
Підсвітка мікроскопа
Підсвітка у мікроскопа Sigeta MB-303 світлодіодна (LED), модуль підсвітки знімний. Освітлювач складається з однієї лінзи та попередньо встановленого матового світлофільтра, який розсіює промені, освітлюючи мікропрепарат більш м'яким світлом. Маховик регулювання яскравості та кнопка живлення розташовані з правого боку, в основі мікроскопа. Освітлювач досить потужний: 50% інтенсивності буде більш ніж достатньо для спостережень. Краще не вмикайте цю підсвітку на повну потужність: тривалий вплив яскравого світла може завдати шкоди вашому зору.
Замість основного модуля можна встановити стандартне дзеркальце з регульованим кутом нахилу. Це дуже рятує в тих випадках, коли доступ до розетки утруднений.
Всі елементи електроживлення підсвітки заховані в основі приладу, роз'єм для підключення живлення розташований з тильного боку корпусу. Перевернувши оптичний прилад дном вгору, бачимо відсік із запобіжником та відсік для доступу до освітлювального елемента. Основа мікроскопа дуже масивна і важка (важить близько 5 кг), що робить його досить стійким. Прогумовані ніжки приладу не ковзають поверхнею робочого столу.
На цьому можна завершити опис конструкції та приступити до найбільш інтригуючої частини огляду
SIGETA MB-303 у роботі: тестуємо оптику на різних кратностях
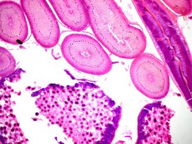
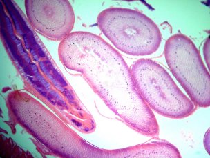
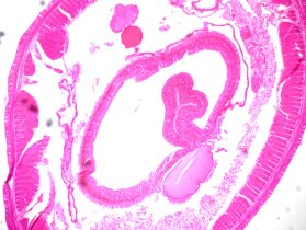
В якості тестових зразків були використані готові мікропрепарати з набору Sigeta «Зоологія». Результати спостережень фіксувалися на два пристрої: дзеркальний фотоапарат Canon 600D (особистий) та цифрову мікрокамеру Sigeta MCMOS 5100 5.1 MP.
Зазначимо, що на всьому діапазоні збільшення ми не зіткнулися з труднощами в налаштуванні різкості; яскравості джерела світла також було цілком достатньо.
При експлуатації імерсійного об'єктива на 100 крат замість імерсійної олії ми використовували звичайну воду, проте об'єктив зміг показати зображення гарної якості. Отже, судіть самі.
Цифрова камера Sigeta MCMOS 5100 5.1 MP
На зображенні переважають холодні відтінки, що обумовлено досить високою колірною температурою LED-освітлювача; недоліком оптики це вважатися не можна.
Дзеркальний фотоапарат Canon 600D
На знімках видно, що хроматична аберація повністю усунена, але присутня слабопомітна сферична аберація та кривизна поля. Близько 80% поля зору на об'єкті вільні від будь-яких спотворень: це досить високий показник для мікроскопа в ціновому сегменті до 500 у.о.
Оцінка мікроскопа Sigeta MB-303 40-1600 Led Trino
Від візуальної оцінки якості картинки переходимо до висновків. 
Позитивні враження
➕ Конструкція мікроскопа добре продумана, радує великий предметний столик, завдяки чому користувач отримує кілька додаткових см2 для маніпуляцій.
➕ Окремо відзначимо вдалий механізм фокусування, жорсткість якого можна налаштовувати. Крім того, фокусувальний вузол дозволяє зафіксувати положення предметного столу, а це великий плюс. Адже коли працюєш із зразками схожого типу і знаєш, що гістологічні зрізи мають рівну товщину, не обов'язково налаштовувати різкість щоразу після заміни слайду: одного разу налаштував, зафіксував, а після лише змінюєш предметне скло.
➕ До оптики претензій немає. Якістю картинки ми залишилися задоволені: оптичний прилад впорався з деталізацією всіх запропонованих мікрозразків.
Негативні сторони
➖ До недоліків можна віднести шорстку поверхню предметного столика, хоча більшість лаборантів користуються предметним склом зі шліфованим краєм, і скло ковзає досить добре.
➖ Другий маленький мінус – немає чорніння внутрішньої поверхні фотоадаптера, через що при зйомці дзеркальним фотоапаратом ми отримали круглий блік у центрі зображень. Недолік цей виправляється досить просто: берете аркуш паперу, вкладаєте у фотоадаптер – і все, блік зникає. Можна піти і складнішим шляхом: взяти фарбу та самостійно зачорнити всі внутрішні поверхні деталі. (При застосуванні камери-окуляра бліку немає, тому що камера глибше, ніж дзеркалка, сідає в корпус адаптера і має матрицю меншого розміру.)
У результаті мікроскоп MB-303 отримує 8.5 балів із 10 і посідає почесне місце у рейтингу топових оптичних приладів.
Автор: Артем Бєлих,
спеціаліст з мікроскопії
Читайте також:
- Програмне забезпечення для USB-мікроскопів
- Клітина під мікроскопом: популярні зразки на збільшенні 40x, 100x і 400x
- Як вибрати біологічний мікроскоп
- Огляд біологічного мікроскопа Sigeta MB-111 (40x-1280x)
- Огляд дослідницького мікроскопа Sigeta Biogenic 40x-2000x LED Trino Infinity
- Навчальні мікроскопи Delta Optical Biolight 300 та SIGETA Bionic 64x-640x: який краще?
- Як підключити камеру до мікроскопа: способи перенесення зображення з мікроскопа на цифровий носій
- Несерйозно про мікроскоп: жарти, комікси, навчальні ігри
- Коли мікроб стає зіркою: 5 дивовижних «історій успіху»
- Від 40x до 640x: огляд та порівняння дитячих мікроскопів
























